Osteochondroza jest chorobą światowej klasy, ponieważ dotyka ludzi na całym świecie (40-90%). Ta patologia w większości przypadków występuje u osób w wieku dojrzałym, po 30 latach. Ból pleców w życiu codziennym jest często przypisywany tej chorobie. W naszym artykule przyjrzymy się szczegółowym objawom, poznamy przyczyny i metody leczenia osteochondrozy. W medycynie choroba ta nazywana jest uszkodzeniem tkanki kręgosłupa o charakterze zwyrodnieniowo-dystroficznym. Osteochondrozie towarzyszą zmiany w krążkach międzykręgowych, powierzchniach stawowych, trzonach kręgów i więzadłach. Z reguły w przypadku osteochondrozy najpierw dotknięte są kości i więzadła.
Istnieje kilka etapów rozwoju osteochondrozy. Przyjrzyjmy się im bardziej szczegółowo:
- Osteochondroza na początkowym etapie wygląda jak odwodnienie jądra miażdżystego, co powoduje zmniejszenie położenia kręgu. Aby było to jaśniejsze dla czytelnika, wyjaśnijmy, czym jest jądro miażdżyste. Ten termin medyczny odnosi się do wnętrza krążka międzykręgowego, które jest reprezentowane przez składniki półpłynne (włókna tkanki łącznej) i galaretowate (chondryna). W tym okresie pacjent doświadcza pęknięć w pierścieniu włóknistym.
- Kolejny etap jest ściśle powiązany z poprzednim: na skutek wypadania kręgów, zwiotczenia więzadeł i mięśni. Ten stan powoduje brak równowagi motorycznej kręgów. Okres ten charakteryzuje się kręgozmykiem, czyli w uproszczeniu przemieszczeniem kręgów.
- Trzeci etap rozwoju osteochondrozy charakteryzuje się bardziej uderzającymi objawami dla zwykłego człowieka - występami krążków międzykręgowych (występem ich zawartości) i artrozą.
- Ostatni etap osteochondrozy jest związany z osteofitami. Nasz organizm, zauważając „luźność” kręgów, stara się przywrócić kręgosłupowi jego pierwotne funkcje: wspierającą i ochronną. Aby to osiągnąć, na powierzchniach kręgów pojawiają się narośla kostne, które nazywane są osteofitami. W tym samym okresie rośnie tkanka włóknista. Efektem tych procesów jest uwięzienie odcinka motorycznego kręgosłupa w skorupie.
Osteochondroza jest chorobą wielogatunkową. Występuje osteochondroza odcinka szyjnego, piersiowego i lędźwiowo-krzyżowego, a także powszechny rodzaj osteochondrozy. Osteochondroza stawu kolanowego staje się coraz bardziej powszechna w praktyce lekarskiej.
Przyczyny rozwoju osteochondrozy
Przyczyny rozwoju tej choroby są liczne i nie zawsze łatwe do ustalenia. Ludzi przybliża do rozwoju osteochondrozy siedzący tryb życia, który jest dziś tak powszechny, nadwaga, złe nawyki (w szczególności palenie), zła dieta, płaskostopie, duża aktywność fizyczna i zła postawa. Uraz kręgosłupa może przyczynić się do pojawienia się osteochondrozy, ale może również rozwinąć się na skutek predyspozycji genetycznych. Częstą przyczyną rozwoju tej choroby są zaburzenia metaboliczne, infekcje, wady wrodzone i zmiany związane z wiekiem. Ciekawostką jest związek pomiędzy rozwojem osteochondrozy a wibracjami. Dotyczy to bezpośrednio kierowców maszyn rolniczych lub operatorów maszyn.
Dzisiejsza osteochondroza nie ma poważnych ograniczeń wiekowych – występuje zarówno u osób starszych, jak i młodych. Istnieje opinia, że rozwój osteochondrozy jest związany ze złożami soli, ale nie jest to do końca sprawiedliwe. Złogi soli są bardziej prawdopodobną konsekwencją osteochondrozy. Przyczyną bólu w osteochondrozie jest często podrażnienie korzeni nerwowych, zwane w medycynie podrażnieniem. Zaburzenia naczyniowe na tle osteochondrozy rozwijają się z powodu upośledzenia unerwienia układu naczynioruchowego.
Objawy osteochondrozy

Najbardziej oczywistym objawem osteochondrozy jest ból i dyskomfort. Ból nie zawsze jest stały; może okresowo się nasilać, a następnie ustąpić. Objawom tym często towarzyszy drętwienie kończyn. W większości przypadków ból promieniuje do lewej strony ciała. Jeśli zauważysz u siebie objawy tej choroby, pospiesz się i udaj się do specjalisty – terapeuty lub neurologa. Wykrycie osteochondrozy we wczesnym stadium poprawi skuteczność jej leczenia.
W przypadku osteochondrozy pacjenci często skarżą się na zwiększone zmęczenie. Ciekawostką, na pierwszy rzut oka nie jest jasne, jaki ma to związek z tą chorobą, jest dreszcz kończyn. Ból głowy i uczucie zawrotów głowy często towarzyszą osteochondrozie. Cechą charakterystyczną choroby jest także duże zmęczenie oczu, a nawet pogorszenie widzenia. W przypadku osteochondrozy okolicy lędźwiowo-krzyżowej pacjenci mogą doświadczać problemów z układem rozrodczym. Ważne jest, aby kobiety wiedziały, że osteochondroza może zakłócać prawidłowy przebieg ciąży i samo poczęcie. Każdy rodzaj osteochondrozy ma swoje charakterystyczne objawy. Tak więc, w przypadku choroby szyjnej, obserwuje się objawy w postaci bólów głowy (szczególnie podczas poruszania głową), zawrotów głowy podczas obracania głowy, upośledzenia wrażliwości dotkniętego obszaru, bólu szyi, łopatek, ramion i klatki piersiowej. Ciekawym i niezbyt przyjemnym objawem osteochondrozy szyjnej jest upośledzenie ruchomości języka. Osteochondroza piersiowa występuje rzadko i charakteryzuje się bólem w klatce piersiowej, zwłaszcza podczas oddychania. Ból może promieniować do żołądka, serca i wątroby. Ten typ również charakteryzuje się drętwieniem, tylko teraz w okolicy klatki piersiowej. W przypadku patologii lędźwiowo-krzyżowej pacjenci często skarżą się na ból promieniujący do nóg. Kolejnym objawem tego typu osteochondrozy jest niedowład kończyn dolnych.
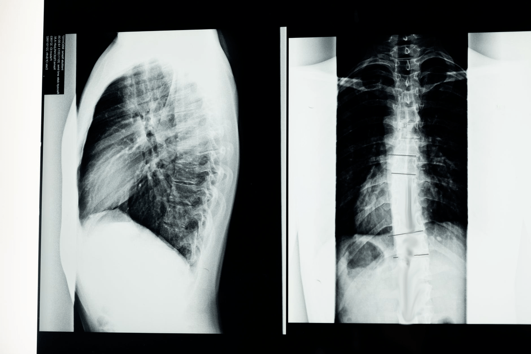
Metody diagnozowania osteochondrozy

Przed rozpoczęciem badań diagnostycznych neurolog zbiera historię medyczną pacjenta i dokładnie bada jego dolegliwości. Osteochondroza ma wspólne objawy z niektórymi innymi chorobami, dlatego ważne jest, aby móc różnicować patologie. Badania rentgenowskie pomogą potwierdzić diagnozę osteochondrozy: radiografia, mielografia i tomografia komputerowa.
Badanie RTG pozwala na uzyskanie zdjęcia RTG kręgosłupa lub jego odcinka. W ten sposób lekarz może określić lokalizację dotkniętą chorobą. Dla jasności wyjaśnimy, w jaki sposób można określić osteochondrozę za pomocą prześwietlenia rentgenowskiego: obraz pokaże zwężenie krążka międzykręgowego, obecność narośli kostnych (osteofitów) lub zmianę kształtu odcinka kręgosłupa.
Badanie mielograficzne jest bardziej złożone niż badanie radiograficzne. Wynika to z pewnych manipulacji, które lekarze muszą wykonać podczas mielografii: do kanału rdzenia kręgowego wstrzykuje się płyn kontrastowy. Może to stanowić zagrożenie dla pacjenta: po pierwsze może rozwinąć się reakcja alergiczna na wstrzykniętą substancję, a po drugie, jeśli nakłucie się nie powiedzie, może dojść do uszkodzenia rdzenia kręgowego. Mimo to prawidłowo wykonana mielografia umożliwia specjalistom obejrzenie wewnętrznej struktury kanału rdzenia kręgowego. Metoda ta jest szczególnie istotna w diagnostyce przepuklin kręgosłupa.
CT (tomografia komputerowa) i MRI (rezonans magnetyczny) to najskuteczniejsze i nowoczesne metody różnicowania osteochondrozy i chorób kręgosłupa o podobnych objawach.
Leczenie osteochondrozy

Leczenie osteochondrozy przeprowadzane jest kompleksowo. Terapia ta ma na celu wyeliminowanie głównego zespołu i przyczyn choroby. Aby zwalczyć osteochondrozę, lekarze stosują akupunkturę, leczenie próżniowe, terapię manualną, leczenie laserowe, trakcję, stymulację elektryczną, nakłucie farmako- i magnetyczne. Głównym zadaniem uzyskania skutecznego leczenia jest wczesne wykrycie choroby. Osoby borykające się z tą poważną chorobą są zaniepokojone głównym pytaniem: czy można wyleczyć osteochondrozę? Odpowiedź na to pytanie będzie zależeć od formy i stopnia osteochondrozy. Jeśli leczenie choroby rozpocznie się na pierwszym etapie, możesz na zawsze pozbyć się osteochondrozy.
W leczeniu osteochondrozy lekarze stosują metody lecznicze i nielecznicze. Wśród leków stosowanych w leczeniu osteochondrozy warto podkreślić:
- Niesteroidowe leki przeciwzapalne. Pomagają eliminować ból i stany zapalne. NLPZ można przepisać do stosowania miejscowego w postaci maści i żeli.
- Blokady nowokainy. Skutecznie radzą sobie z bólem.
- Leki sterydowe. Są przepisywane w postaci zastrzyków zewnątrzoponowych i domięśniowych.
- Leki zwiotczające mięśnie. Takie środki pomagają pacjentowi zwalczać skurcze mięśni.
- Witaminy B1, B6 i B12. Pomogą usprawnić procesy metaboliczne niezbędne dla zdrowia kręgosłupa.
Przykłady terapii nielekowych są różnorodne, interesujące i przyjemne. Poniższe informacje pomogą Ci poradzić sobie z objawami osteochondrozy bez leków:
- terapia ruchowa;
- fizjoterapia;
- masaż;
- terapia manualna;
- trakcja;
- refleksologia.
Przyjrzyjmy się tym metodom leczenia bardziej szczegółowo. Fizykoterapia w przypadku osteochondrozy to wybór ćwiczeń fizycznych mających na celu wyeliminowanie ucisku korzeni nerwowych, skorygowanie postawy i wzmocnienie gorsetu mięśniowego. Terapia ruchowa pomaga zapobiegać rozwojowi powikłań osteochondrozy. Taka aktywność fizyczna pomaga zmniejszyć obciążenie bezpośrednio kręgosłupa, a także poprawia jego ukrwienie.
Pacjentom z osteochondrozą przepisuje się procedury fizjoterapeutyczne w celu wyeliminowania bólu i stanu zapalnego. W tym zakresie skutecznie sprawdzają się elektroforeza, ultradźwięki, leczenie laserem i magnesem. Masaż pobudza krążenie krwi i łagodzi napięcie mięśni. W likwidowaniu bólu pomaga nie tylko masaż leczniczy, ale także terapia manualna. Dodatkowo pomaga przywrócić ruchomość kręgów i prawidłową postawę.

Trakcja... co to jest? Pod tym, na pierwszy rzut oka, niezrozumiałym słowem kryje się proste znaczenie – „rozszerzenie”. Chęć rozciągnięcia kręgosłupa znana jest chyba wszystkim osobom cierpiącym na osteochondrozę. W dzisiejszej medycynie istnieją specjalne urządzenia, które to umożliwiają. Ta procedura pozwala pozbyć się bólu i zwiększyć przestrzeń międzykręgową.
Inną interesującą metodą nielekowego leczenia osteochondrozy jest refleksologia. Jest ściśle powiązana z akupunkturą, gdyż polega na oddziaływaniu na punkty refleksyjne ciała człowieka.
Najlepsze lekarstwo na osteochondrozę
Idealny lek na osteochondrozę powinien wyeliminować ból i stany zapalne, poprawić krążenie krwi, przywrócić ruchomość chrząstki i stawów, a także zmniejszyć depresję u pacjenta. Ze wszystkimi tymi zadaniami radzi sobie kompleks odpowiednio dobranych leków. W tej części artykułu szczegółowo przeanalizujemy wszystkie te leki.
Niesteroidowe leki przeciwzapalne lub NLPZ na osteochondrozę

NLPZ pomagają pacjentowi z osteochondrozą przezwyciężyć ból, stan zapalny i obrzęk. Leki te mogą być produkowane zarówno do miejscowego użytku zewnętrznego w postaci maści i żeli, jak i do użytku wewnętrznego w postaci tabletek i roztworów do wstrzykiwań. Niesteroidowe leki przeciwzapalne mogą należeć do różnych grup:
- Grupa leków zawierających substancję czynną diklofenak. Leki te nasilają działanie przeciwbólowe innych leków przeciwbólowych i łagodzą stany zapalne. Wadą tej grupy jest niemożność ich stosowania w czasie ciąży i laktacji.
- W przeciwieństwie do poprzednich leków, leki z grupy ibuprofenu są dopuszczone do stosowania przez kobiety w ciąży i karmiące piersią pod nadzorem lekarza. Substancja jest dobrze tolerowana i dlatego można ją przepisywać dzieciom.
- Grupa leków Ketoprofen ma przyspieszone działanie przeciwbólowe.
- NLPZ nowej generacji obejmują grupę Nimesulid. Mają minimalne skutki uboczne.
Leki rozszerzające naczynia krwionośne na osteochondrozę
Zwężenie naczyń krwionośnych w przypadku osteochondrozy obserwuje się w związku z bólem i napięciem mięśni. W rezultacie dochodzi do niedoboru tlenu w uszkodzonych tkankach, w wyniku czego zaburzona zostaje funkcjonalność narządów wewnętrznych. Aby uniknąć takich powikłań, lekarze przepisują swoim pacjentom leki rozszerzające naczynia krwionośne.
Leki zwiotczające mięśnie w osteochondrozie
Leki zwiotczające mięśnie rozluźniają mięśnie i działają uspokajająco. Wpływa to korzystnie na przepływ krwi i wspomaga przeciwbólowe działanie niesteroidowych leków przeciwzapalnych. Leki zwiotczające mięśnie pomagają również przyspieszyć proces naprawy uszkodzonych tkanek.
Chondroprotektory na osteochondrozę
Chondroprotektory i kompleksy witaminowe pomagają przywrócić tkankę chrzęstną. Chondroprotektory są rozumiane jako środki przywracające nie tylko tkankę chrzęstną, ale także ruchomość w stawie. Godne leki w tej grupie to te na bazie chondroityny i glukozaminy.
Środki uspokajające na osteochondrozę
Wydawałoby się, po co brać środki uspokajające podczas leczenia osteochondrozy? Odpowiedź nie jest tak skomplikowana, jak mogłoby się wydawać: zespół bólowy, który prześladuje osobę przez długi czas, może łatwo wywołać depresję i częsty stres. W większości przypadków wystarczy nalewka z waleriany lub serdecznika.
Lekarz prowadzący musi wybrać leki do leczenia tak poważnej choroby, jak osteochondroza.
Gorset na osteochondrozę

W kompleksowym leczeniu wszelkiego rodzaju osteochondrozy lekarze uważają noszenie gorsetu za przydatne. Gorsety są specjalnie wykonane oddzielnie dla odcinka szyjnego, piersiowego i lędźwiowego lub do całkowitego unieruchomienia kręgosłupa. W przypadku osteochondrozy klatki piersiowej stosuje się gorsety wykonane ze specjalnego rozciągliwego materiału z metalowymi lub plastikowymi szynami wewnątrz. W przypadku osteochondrozy lędźwiowej stosuje się gorsety ze sztywnymi wstawkami krzyżowymi i podłużnymi wykonanymi z metalu lub tworzywa sztucznego. Materiałem używanym do produkcji jest taśma bandażowa lub neopren. Gorset na szyję nazywany jest kołnierzem i jest sztywny. Gorsety stabilizujące cały kręgosłup nazywane są także korektorami postawy. Gorsety występują w wersji miękkiej, średniej i twardej. Stopień sztywności gorsetu ustalany jest indywidualnie przez lekarza prowadzącego.
Noszenie gorsetu na osteochondrozę pomoże wzmocnić mięśnie pleców, zmniejszyć ból, poprawić postawę, zapobiec rozwojowi powikłań i przyspieszyć powrót do zdrowia. Jeśli chodzi o noszenie gorsetu, obowiązują pewne zasady. Pacjenci cierpiący na osteochondrozę powinni zdecydowanie skonsultować się ze specjalistą w sprawie wyboru i konieczności stosowania gorsetu. Po raz pierwszy gorset zakłada się na nie więcej niż 15 minut, a następnie można go nosić nie dłużej niż 6 godzin dziennie.
Zapobieganie osteochondrozie
Profilaktyka ma ogromne znaczenie dla utrzymania zdrowia kręgosłupa i zapobiegania zaostrzeniom osteochondrozy. W celu zapobiegania należy prowadzić zdrowy i aktywny tryb życia, wykonywać ćwiczenia i walczyć z ewentualną nadwagą. Stres i szok nerwowy mogą również powodować rozwój osteochondrozy. Dlatego ważne jest monitorowanie swojej stabilności psychicznej i unikanie stresujących sytuacji. Raz otrzymane urazy mogą ostatecznie zareagować w negatywny sposób, dlatego należy ich unikać od dzieciństwa. Szczególne znaczenie ma prawidłowe odżywianie w przypadku osteochondrozy i jej zapobieganie.
Dieta na osteochondrozę

Niektórzy eksperci mówią o ważnej roli odżywiania dla zdrowia kręgosłupa. Produkty spożywane przez człowieka muszą dostarczać mu substancji syntetyzujących tkankę chrzęstną. Mówimy o mukopolisacharydach zawartych w galaretce, galaretowanym mięsie i żelatynie. Ważne jest monitorowanie wystarczającej ilości płynów, ponieważ ich brak prowadzi do odwodnienia krążków międzykręgowych. Białka są przydatne w normalnej diecie, a zwłaszcza w przypadku osteochondrozy. Substancje te można pozyskać z mięsa, orzechów, ryb, fasoli i bakłażanów.
Minerały i witaminy wzmacniają tkankę kostną. Zatem wapń możemy pozyskać z twardych serów, produktów mlecznych, fasoli i sałaty. Należy pamiętać, że witamina D, znajdująca się w jajach, maśle i rybach morskich, jest niezbędna do wchłaniania wapnia. Magnez pomaga zatrzymać wapń w tkance kostnej i zapobiega jego wypłukiwaniu z organizmu. Magnez można pozyskać jedząc ogórki, orzechy i nasiona słonecznika. Wiele osób wie o zawartości fosforu w rybach, jednak fakt, że pierwiastek ten wchodzi także w skład grochu, soi, otrębów i białej kapusty jest faktem mniej znanym. Źródła manganu obejmują mięso z kurczaka, żółtka, twarożek, skórki ziemniaków i banany.
Wśród witamin warto podkreślić szczególną rolę grup A, B i C. Źródłami witaminy A są surowe jaja, wątroba, marchew i melon. Wieprzowina, wołowina, owoce morza, grzyby i zboża zawierają witaminy z grupy B. Znany nam od dzieciństwa kwas askorbinowy występuje w świeżych owocach i warzywach.
Jeśli więc przyjrzymy się produktom zawartym w diecie na osteochondrozę lub w celu jej zapobiegania, zobaczymy, że z tej listy możemy stworzyć menu bardzo smaczne i różnorodne dania.
Przyjrzyjmy się teraz produktom zabronionym. Czarna lista produktów na osteochondrozę obejmuje: sól, pikle i marynaty, ostre przyprawy, żywność przetworzoną, cukier (można zastąpić miodem), napoje gazowane i kawę.
Powikłania osteochondrozy

Osteochondroza, jeśli nie jest prawidłowo leczona, może doprowadzić pacjenta do niepełnosprawności. Powikłania tej patologii obejmują:
- Zwężenie rdzenia kręgowego spowodowane zwężeniem jego kanału. Powoduje to drętwienie kończyn i problemy z chodzeniem.
- Uszczypnięte nerwy rdzeniowe.
- Wysunięcie dysku, a następnie przepuklina międzykręgowa.
- Zapalenie korzeni.
- Lumbago i rwa kulszowa.
- Dystonia wegetatywno-naczyniowa.
- Przepuklina Schmorla.
- Przemieszczenie kręgów.
- Migrena i bóle głowy.
W przypadku osteochondrozy kręgosłupa szyjnego często obserwuje się wzrost ciśnienia krwi.
Jeśli masz dolegliwości dotyczące zdrowia kręgosłupa, spiesz się, aby zwrócić się o pomoc do lekarza, ponieważ leczenie w odpowiednim czasie jest kluczem do pomyślnego powrotu do zdrowia.



















